画像をダウンロード 銀歯 女性 173734
鷲尾伶菜 (元Egirls)(銀歯,セラミック歯6本ブリッジ続報)。 ツーイースト シホ (銀歯)。 山岸逢花 (銀歯クラウン等5本,セラミック5本)。 二宮愛 (ミュージカル)(銀歯,裏銀差し歯→セラミック6本続報)。 万理華 (グラビアアイドル)(銀歯9本)。 結衣 (銀歯)。 40代女性上顎の奥歯の銀歯をハイブリッドセラミックインレーで治療した症例 補綴 年代・性別 40代女性 相談内容 食事中に奥歯の銀歯が取れてしまったので治療したいと来院されました。 診断結果 銀歯の下側が虫歯になってしまって、維持The latest tweets from @gin__ba
詰め物欠けた 銀歯を白くした 50代女性 自由が丘の歯医者のデンタルアトリエ自由が丘歯科です 審美歯科 かみ合わせ 歯列矯正 根管治療
銀歯 女性
銀歯 女性-30代女性、銀歯に虫歯ができたため外して保険内で白くした症例 当院では、治療の際に拡大鏡を使用し、精密な治療を心がけています。 歯を何倍も拡大することにより、治療の精度が上がり、仕上がりも非常にきれいになります。 今回は、銀歯の下が 成人の7割に銀歯が入っている まず知っておきたいのは歯の治療についての悩みを抱えているのは、圧倒的に女性が多いということ。 msn msn ニュース



奥歯の銀歯を白い歯に変更 代女性 診療案内 杉並区八幡山駅近く評判の歯医者 八幡山米山歯科
銀歯を白くした方がいい理由 31 1.銀歯の下は虫歯になりやすい 32 2.金属アレルギーになりやすい 33 3.昔に入れた銀歯はアマルガムを使っており有害である 34 4.銀歯は歯茎を黒くする可能性がある 今回は「絶景口内検診 お姉様に消化されることを夢見たm男の走馬灯はかくも唾液・粘膜まみれ 」という作品を紹介します。 作品のリンクはコチラ →絶景口内検診 今回の作品では、たくさんの女性たちの口の中をいっぺんに観察できちゃう1時間動画です。年齢・性別 :10代女性 主訴 :左下の奥歯の銀歯が気になる 治療前経過 :幼少期に左下の奥歯の虫歯治療をした。その時、虫歯の範囲が大きかったので部分的な銀歯を入れた。昔は特に気にならなかったが最近になって気になるようになったので銀歯を
治療写真 術前 パラジウムインレー(銀歯)。10年以上が経過し劣化している。 術後 適合精度の高い(ぴったりと合った)クラウンおよびインレーが装着された。色調も調和している。 パラジウムクラウンを除去し仮歯に置き換えた。5,9 Posts See Instagram photos and videos from '銀歯' hashtag30代女性 銀歯をダイレクトボンディングで白く治療した症例 ご相談内容 笑ったときに銀歯が見えるのが気になっていたそうです。 歯を白くしたい、永く保つようにしたいとのことでご相談くださいました。 診断結果 ご相談のとおり、下の奥歯が銀歯で
代女性奥歯の銀歯をセラミックに変えた症例 主訴 お口を開けた時に奥歯の銀歯が見えるのが気になるとのことでご相談いただきました。 診断結果 患者様はご自身の噛む力が強く、特に奥歯には強い力がかかっていたため、歯よりも柔らかい樹脂で修復 フェチ板の「銀歯女性の金属歯フェチ差し歯」は今後も継続するので、銀歯や差し歯についての情報はそちらにご投稿お願いします。 リンクは>>22にあります。 今まで本当にありがとうございました! では、さようなら! 銀歯をなくしたい 代女性 | 茗荷谷の歯科医院、高橋歯科文京では精密で専門的な歯科治療を行っています。 抜歯から歯を守るための予防歯科、歯髄保存療法、歯周病細菌治療や、かみ合わせ治療、無痛治療、自然で美しい審美治療やマイクロエンド



当院のブログをご覧いただきありがとうございます 30代女性 過去 ずっと保険診療の銀歯の治療を続けてきていたが



全身の健康と歯科治療 かみ合わせ セラミック治療例 30代女性 126 東京赤坂ヴィーナスデンタル
KisMyFt2の千賀健永さんは右の下の奥歯に銀歯があるのが見えます。KisMyFt2は3人が銀歯なんですね。 銀歯の女性芸能人・有名人21名 次は、銀歯の女性芸能人・有名人を見ていきましょう。 1.長谷川京子さんThe latest tweets from @ginbaman2左下5番と左下6番の歯が「食の変態 楽々」は銀歯で 銀インレーを詰めていた (アクティバ様御紹介、画像は歳直前)。 やはり、右上4番と右上5番の歯が「食の変態 楽々」 は銀歯で銀クラウンを被せていた (アクティバ様御紹介、画像は歳時



40代女性 銀歯をセラミックに変えて見た目を改善したケース 吉田歯科クリニック



40代女性 銀歯をセラミックに変えて見た目を改善したケース 吉田歯科クリニック
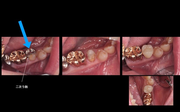
年以上前に治療した銀歯の下が虫歯に。発見が遅くなり根管治療を行う 群馬県在住 30代 女性 治療箇所:奥歯上 当時通院していた歯科医院は予防歯科に力を入れているため、4か月に1 男女別に見ると、女性の銀歯保有率が男性に比べ高く、40代女性の銀歯保有率は、9%と最も高いことが分か りました。女性は妊娠・出産のプロセスに伴い、口の中の細菌のバランスが変化し、免疫力が落ちることで、むし歯 に罹りやすくなることが明らかになっています。 416%の人が10 年を ヤフーニュースから 銀歯によって、金属アレルギーや虫歯、歯周病リスクが高まるというデメリットも理解した上で、適切な治療法を選択していくようにしましょう。 先進国では珍しい? 銀歯を被せる虫歯治療 欧米諸国では、美しく白い歯やきれいな歯並びはとても価値あるものとされ



ジルコニア症例42 笑うと気になる銀歯を



銀歯ってどうなの 枚方の歯医者 本多歯科
40代の女性です。銀歯を外して虫歯になりにくいセラミックにしたいという主訴で、当院のHPをご覧になり来院されました。 保険治療は使えませんが、まず ストリークレーザーを使って麻酔 をします。注射の麻酔ではないので術後の痺れも全くありません。 写真の様に一塊として綺麗に除去今回は「銀歯フェチ歯観察 由香里さんの口内」という作品を紹介します! 作品のリンクはコチラ →酒井由香里│銀歯フェチ向け!フルクラウン4本の歯観察動画 今回は凄いです。 なんとフルクラウンが4本もある女性の口内が観れます!



銀歯がある女性に対して男性が思うこと4つ Peachy ライブドアニュース



銀歯からセラミックへの詰め物の変更 初台の歯医者 初台駅1分 初台 はまだ歯科 矯正歯科 根管治療専門医



中田クルミ 公式ブログ 銀歯からセラミックへ Powered By Line



30代女性 銀歯を白くしたい セラミック治療 E Maxセラミック レイヤリング E Maxセラミックインレー クラウン はらだ歯科 症例集 症例集 はらだ歯科クリニック 大田区 京急蒲田 川崎 東京都



60代女性の奥歯の銀歯ブリッジ パラジウムブリッジ に発生した二次カリエスをジルコニアブリッジにて治療した例 赤坂の歯医者さん 赤坂クレール歯科クリニック



50代女性銀歯が気になり セレックで白く治療した症例 我孫子の歯医者さん なかむら歯科



詰め物欠けた 銀歯を白くした 50代女性 自由が丘の歯医者のデンタルアトリエ自由が丘歯科です 審美歯科 かみ合わせ 歯列矯正 根管治療



代女性のパラジウムインレー 銀歯 をセラミックインレー E Max で治療した症例 赤坂の歯医者さん 赤坂クレール歯科クリニック



30代女性 奥歯の銀歯が目立つ 奥歯の銀歯をセラミックで白く治療した症例 デンタルオフィス代々木上原



銀歯と白い歯の印象の違い ふじしま歯科 スタッフブログ



代女性 メタルフリー 金属アレルギー 自由が丘の歯医者のデンタルアトリエ自由が丘歯科です 審美歯科 かみ合わせ 歯列矯正 根管治療



審美歯科治療の前にすべきこと 西葛西スマイル歯科クリニック



30代女性銀歯の下の虫歯を除去しセラミックで修復したケース 市ヶ谷の歯医者 海谷歯科医院



60代女性 銀歯と保険の白い歯 Cad Cam冠 の虫歯をセラミックで綺麗に噛み合わせも治した例 東鎌ヶ谷歯科



銀歯の虫歯治療とセラミッククラウンのブリッジへ nセントラルクリニック歯科



7周年 銀歯を白い歯に変える方法 三宮クローバー歯科コラム



奥歯の銀歯を白い歯に変更 代女性 診療案内 杉並区八幡山駅近く評判の歯医者 八幡山米山歯科



40代女性 詰め物 銀歯 が外れた とご相談 最終的に全体を治療した症例 西永福歯科 抜かない 痛くない 削らない歯医者



50代女性 小臼歯のパラジウムクラウン 銀歯 をオールセラミッククラウンで審美的に改善した症例 赤坂の歯医者さん 赤坂クレール歯科クリニック



Kei 女性の銀歯見て興奮する人rt 歯医者で治療風景見て興奮する人rt 綺麗な女性に銀歯 があることを知って興奮する人rt



芸能人銀歯 完全無料画像検索のプリ画像 Bygmo



代の女性の銀歯の悩み 東大阪 石切駅前 徒歩1分 Newスタイル鈴木歯科医院 072 980 4000 親知らずを静脈麻酔鎮静法で楽々寝ながら抜歯 オールセラミック 35 000 80 000 再生治療付きインプラント年間100症例 目立たない保険の入れ歯



症例集 東京都江東区北砂の砂町北歯科



銀歯からセラミックへの治療 30代 女性 初台の歯医者 初台駅1分 初台 はまだ歯科 矯正歯科 根管治療専門医



30代女性 銀歯に虫歯ができたため外して保険内で白くした症例 香川県丸亀の歯医者さん みらい歯科クリニック



40代女性 銀歯交換セラミック インプラント ホワイトニング審美歯科 自由が丘の歯医者のデンタルアトリエ自由が丘歯科です 審美歯科 かみ合わせ 歯 列矯正 根管治療



40代女性 ずっと気になっていた銀歯を即日で審美的にダイレクトボンディング 白い歯 で治した例 東鎌ヶ谷歯科



銀歯を使うのは日本だけ ホーチミンのありが歯科



代女性のパラジウムインレー 銀歯 をセラミックインレー E Max で治療した症例 赤坂の歯医者さん 赤坂クレール歯科クリニック



30代女性 深い虫歯と銀歯のセラミック 治療例 表参道しらゆり歯科



銀歯から白い歯へ 陸前高田 歯医者 吉田歯科医院の公式ホームページ 陸前高田市で開業して30数年 陸前高田の歯科治療に貢献します



奥歯の銀歯を白い歯に変更 代女性 診療案内 杉並区八幡山駅近く評判の歯医者 八幡山米山歯科



50代女性銀歯が気になり セレックで白く治療した症例 我孫子の歯医者さん なかむら歯科



女だけど歯を磨かなかった結果wwwwwwwwwwww ミラクルミルク



代女性奥歯の銀歯をセラミックに変えた症例 吉田歯科クリニック



30代女性 銀歯だらけ セラミックへ 医 精密審美会



539点の銀歯のストックフォト Getty Images



50代女性 差し歯と銀歯のセラミック治療 治療例 表参道しらゆり歯科



笑うと光る銀歯 名古屋の審美治療はデンタルサロン モナ 名古屋市西区の歯医者さん ホワイトニング インプラント 各種歯科治療



奥歯の銀歯を白い歯に変更 代女性 診療案内 杉並区八幡山駅近く評判の歯医者 八幡山米山歯科



銀歯を白い歯に変えた症例 大阪審美歯科グループ



10代女性 保険治療範囲内で銀歯を白くした症例 審美歯科 香川県丸亀の歯医者さん みらい歯科クリニック



30代女性 奥歯の銀歯をセラミックで白い歯に 医 精密審美会



代女性 メタルフリー 金属アレルギー 自由が丘の歯医者のデンタルアトリエ自由が丘歯科です 審美歯科 かみ合わせ 歯列矯正 根管治療



銀歯 女性



30代女性 銀歯ブリッジ交換 デンタルアトリエ自由が丘歯科 Dr 小笠原慶一ブログ



銀歯をなくしたい 20代女性 文京区茗荷谷 千石の歯科医院 高橋歯科クリニック文京



銀歯をなくしたい 20代女性 文京区茗荷谷 千石の歯科医院 高橋歯科クリニック文京



セラミック奥歯の症例 30代女性



審美歯科 東松戸総合歯科クリニック 松戸市 市川市の総合歯科クリニック



銀歯治療 の繰り返しが歯を失う負の連鎖を引き起こす Newsポストセブン



銀歯を白くしたい 40代女性 医 精密審美会



気づけば全て銀歯になっていた方へ 未来デンタルクリニック 神戸市北区の歯科医院



つめ物 被せ物治療 世田谷区千歳船橋駅2分の歯医者 千歳船橋歯科



銀歯



症例紹介 スマイル歯科 石川県小松市 矯正 インプラント 審美 ホワイトニング



女性芸能人の歯 画像掲示板3



女性芸能人の歯 画像掲示板3



人の銀歯って気になりますか 明日歯医者へ行ったとき 銀歯にするか有料の白 Yahoo 知恵袋



50代女性 小臼歯のパラジウムクラウン 銀歯 をオールセラミッククラウンで審美的に改善した症例 赤坂の歯医者さん 赤坂クレール歯科クリニック



笑った時に見える銀歯を白くしたい 30代女性 医 精密審美会



50代女性銀歯の下の虫歯を除去しセラミックで修復したケース 市ヶ谷の歯医者 海谷歯科医院



佐倉 零雄 虫歯 銀歯フェチアカ Metal Bracket Twitter



気づけば全て銀歯になっていた方へ 未来デンタルクリニック 神戸市北区の歯科医院



女性芸能人の歯 画像掲示板2



1



症例紹介 スマイル歯科 石川県小松市 矯正 インプラント 審美 ホワイトニング



30代女性 銀歯をダイレクトボンディングで白く治療した症例 相模原市西橋本の歯医者さん ナチュラルデンタルオフィス橋本



歯医者さんで 銀歯になります って言われたら すぐに確認してください 目黒歯科医院 入れ歯とインプラントの裏話



30代女性 奥歯の銀歯をセラミックで白い歯に インレー 詰め物 横浜桜木町歯科 ホットペッパービューティー



Tweet Populerことは 歯フェチ 1 Whotwi Analisis Twitter Grafis



包括的 全体的 処置 40代 女性 藤沢の歯医者 井上歯科医院



30代女性 古い銀歯を白いセラミックに デンタルアトリエ自由が丘歯科 Dr 小笠原慶一ブログ



40代女性 銀歯交換セラミック インプラント ホワイトニング審美歯科 自由が丘の歯医者のデンタルアトリエ自由が丘歯科です 審美歯科 かみ合わせ 歯 列矯正 根管治療



30代女性の大量虫歯 歯科治療恐怖症の為 眠った状態で治療 2時間でここまでやれるの Tooth Decay 1day Treatment Twenties Woman 重度蛀牙治療 Youtube



代女性奥歯の銀歯をセラミックに変えた症例 吉田歯科クリニック



銀歯が見える女性は嫌われる 銀歯にしても見えにくい歯と見えやすい歯 ムシバラボ



R むーしーばーだーらーけぇ なおーしたーけどー 銀歯見えるから笑うの恥ずかしい 明後日はまた はいしゃ



銀歯の写真 画像素材 Snapmart スナップマート



40代女性 詰め物 銀歯 が外れた とご相談 最終的に全体を治療した症例 西永福歯科 抜かない 痛くない 削らない歯医者



過去に治療した症例事例 とみぐち歯科



色だけじゃない 金歯と銀歯の違いとは 日暮里駅前デンタルクリニック



1



審美治療 市川市の歯医者 下総中山アール歯科



Amazon Co Jp 美しい女たちの口腔内観察 佐伯かのん 小川奈緒 園田彰子 Prime Video



銀歯の劣化による二次カリエス治療とセラミック治療の症例 港区浜松町 大西歯科モノレールビルクリニック



銀歯の芸能人27選 衝撃順ランキング 画像付き 21最新版 Rank1 ランク1 人気ランキングまとめサイト 国内最大級



10代女性 保険治療範囲内で銀歯を白くした症例 審美歯科 香川県丸亀の歯医者さん みらい歯科クリニック



代の女性の銀歯の悩み 東大阪 石切駅前 徒歩1分 Newスタイル鈴木歯科医院 072 980 4000 親知らずを静脈麻酔鎮静法で楽々寝ながら抜歯 オールセラミック 35 000 80 000 再生治療付きインプラント年間100症例 目立たない保険の入れ歯



危険 保険の銀歯は海外では使用禁止です 目黒歯科医院 入れ歯とインプラントの裏話



デンタルアトリエ自由が丘歯科 38歳 女性 セラミック治療 銀歯交換 メタルフリー Powered By Line



セラミック治療例 右下銀歯からセラミックインレー へ 30代女性 ハート歯科クリニック いまい



代女性 保険治療と自費治療を組み合わせて銀歯を白くした症例 香川県丸亀の歯医者さん みらい歯科クリニック



Mta 虫歯治療 山内歯科多治見おとなこども矯正



銀歯から白い歯へ 陸前高田 歯医者 吉田歯科医院の公式ホームページ 陸前高田市で開業して30数年 陸前高田の歯科治療に貢献します



50代女性 銀歯の下の虫歯を除去しセラミックで修復したケース 市ヶ谷の歯医者 海谷歯科医院



30代女性 左下奥歯を根管治療とセラミックで治療した例 上石神井の歯医者 大塚歯科



女性芸能人の歯 画像掲示板3
コメント
コメントを投稿